Meningioma brain tumors are the most frequent type of non-malignant tumors that affect the central nervous system. These are the tumors that arise in the meninges, that is, the brain and spinal cord's protective layers. While they are mostly benign, their volume increase can become a problem if the brain is compressed by them, and the symptoms can become serious. In the last couple of years, Kolkata has become a new hotspot for advanced neurosurgical operations. This manual is a wide-ranging glimpse of the treatment scene of the meningioma brain tumor Kolkata, including the capabilities of the local workforce, the prerequisites, and the expertise of the city.
Understanding Meningioma Brain Tumors
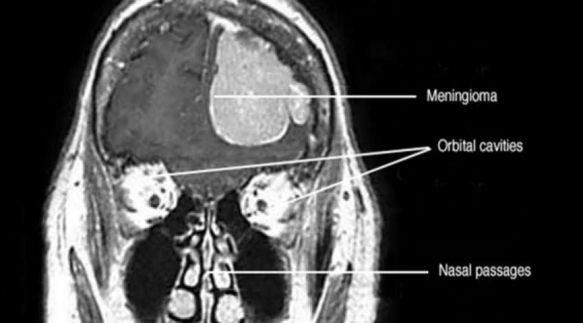
Generally, meningiomas are indolent and can be overlooked for quite a long time. On the other hand, if they get to a certain size or if their location is in a sensitive part of the brain, symptoms like continuous headache, impairment of vision, memory loss, or difficulty with motor function can be observed. Early detection by MRI and CT is very important for the diagnosis to be correct. In Kolkata, several credible medical centres are opening, providing not only the latest imaging equipment but also the training of neurologists for the diagnosis and therapy of these tumors.
The Role of Neurosurgery in Treatment
Generally, the removal of the tumor by surgery is a leading line of treatment for meningiomas, especially when the tumor is in an open area and it is the cause of significant symptoms. The goal is to take away the part of the tumor that is still there and not to interfere with the neurological function. The fact of having a renowned spine neurosurgeon means patients will get high-precision care with modern surgical techniques such as microsurgery and systems for navigation during operations (computer-assisted surgery). These technologies make the realization of more effective surgical results with less risk possible.
Advanced Treatment Facilities in Kolkata
Kolkata has become the center of neurosurgery and oncology in Eastern India due to the extraordinary development it has made in these areas. The metropolis is home to multiple multispecialty hospitals that have state-of-the-art ICUs for neuro-rehabilitation and postoperative monitoring systems.
Spinal Tumors and Their Management
Even though meningiomas are commonly known as brain tumors, they can also be found along the spinal cord. Here we are talking about spinal meningiomas. Additionally, they may be accompanied by back pain, numbness, or difficulties in walking. The availability of specialized services for spine tumors Kolkata ensures that patients can easily get a diagnosis and surgery under one medical ecosystem. Early detection and prescribed treatment significantly improve the prognosis for patients suffering from spinal tumors.
Co-Existence with Other Brain Tumors
Sometimes, the people with a diagnosis of meningiomas may be such that they have to be considered in the same group as patients with other brain tumors, for example, pituitary adenomas. This can make the situation more complicated, and thus a multidisciplinary approach is necessary.
Hospitals providing pituitary brain tumor Kolkata have been modernizing procedures over recent years, which include the use of endoscopic surgery, a minimally invasive method, through the nasal passage. It is evident that through coordination between the neurosurgeons, the endocrinologists, and the radiologists, the treatment will be comprehensive, and only then can the coexistence of meningiomas and pituitary tumors be managed accordingly.
Post-Treatment Care and Long-Term Management
The aforesaid reference to surgery or radiation therapy proposed above further implies that continued follow-up undergone regularly is of the essence to be able to detect in good time such occurrences as the reappearance of the tumor and any complications. Besides, it is suggested that patients usually undergo MRI scans and also have their neurological tests done. Rehabilitation, such as physiotherapy and occupational therapy, is needed for those who get motor or cognitive impairments.
Conclusion
When one requires treatment for a meningioma brain tumor, care must be taken in selecting medical professionals, appropriate infrastructure, and follow-up care. Over time, Kolkata, with its improved healthcare ecosystem and availability of highly skilled doctors, is gradually gaining popularity among people seeking neurosurgical treatment. The city is not only handling the problem of meningioma removal but is also providing consultation from the leading spine neurosurgeon in Kolkata.
